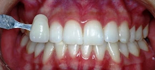
Neste caso de clareamento, a paciente que já possuía cor A2 (compare a primeira foto como está mais claro que A3, didaticamente colocada para a paciente perceber) desejou clareamento dental, mesmo sabendo que o resultado não seria tão evidente quanto em pacientes com cores mais escuras. Assim sendo, com consentimento da mesma, foi feito clareamento caseiro dos arcos dentais que acabou por se tornar gratificante principalmente devido ao resultado natural e da regressão de pequenas manchas escuras que a paciente apresentava nas incisais (pontas) dos incisivos anteriores superiores.
Antes: reparar pequenas manchas escuras nas incisais dos centrais
Depois de 6 meses: Clareamento obtido em média B1 e uniformização de cores
Tal caso acima exposto mostra uma outra grande faceta de vantagem do clareamento dental que é a uniformização de grande parte das cores constituintes naturalmente nos dentes da paciente. Outro fato específico deste caso é que a paciente se mudou de cidade e não tivemos a chance de finalizar o tratamento e fazer a foto imediata ao término, ainda assim, após 6 meses conseguimos o registro. Faça clareamento, converse com seu profissional sobre os limites do procedimento (entre artificial e natural). É um procedimento seguro e gratificante.
Blog para divulgação de possibilidades em Periodontia - Prótese - Implantodontia - Estética - Reabilitação Oral: ODONTOLOGIA
Assinar:
Postar comentários (Atom)
-
As próteses parciais removíveis (PPR) são peças que substituem vários dentes apoiadas em poucos pilares dentais. Elas possuem d...
-
Pérolas de esmalte, gotas de esmalte ou enamelomas são excrescências com formato de meia esfera, geralmente de esmalte...
-
Desde 2011, uma das mais respeitadas instituições odontológicas lançou seu Guidelines que recomenda que todo ADULTO realize um exame anu...
Nenhum comentário:
Postar um comentário
Deixe aqui sua opinião que, na medida do possível, tentaremos respondê-la.